叢生(そうせい)
重なり合って歯並びがでこぼこになったり、ねじれてしまっている状態。
歯列不正の中でも最も多い形。アゴが小さく歯が並ぶスペースが足りないことが原因となるケースが多い。
〒810-0024 福岡県福岡市中央区桜坂2丁目9−21 栗山ビル1F
子どもの歯並びが心配!
歯並び矯正治療はいつから始めると
いいの!?
原因から歯並びを改善することで、
短期的に、良い歯並び・正しいお顔の成長・健康を得ることができます。
呼吸・飲み込み方・姿勢などの不正歯列の原因を、子ども自らが学び改善していくことで、歯並びだけではなくより良い成長と健康を目指します。
このような習慣が続いてしまうとアゴが上手く成長しないため、歯並びが悪化してしまう可能性があります。
歯並びが悪くなる理由には以下の5つの原因が関与しています。
現在5人中4人のお子さんに歯列不正やアゴの発育不全があるといわれています。
最近の研究では、筋機能の不正によるロ呼吸・舌癖などがアゴの発育不全の原因として明らかになっています。
また、アレルギーや長期間の指しゃぶりも発育不全を生み出します。このように歯やお口の発育は、舌・頬・唇を含めた全ての機能から大きな影響を受けています。
重なり合って歯並びがでこぼこになったり、ねじれてしまっている状態。
歯列不正の中でも最も多い形。アゴが小さく歯が並ぶスペースが足りないことが原因となるケースが多い。
叢生の次に多い歯列不正。
上の前歯が前方向に傾斜し、横から見た時に上の歯並びが前に出ている状態。遺伝や上下のアゴの発育バランスが悪いケースや、下唇を咬むクセが原因となる場合がある。

横から見た時に下の前歯が強く前に傾斜し、下の歯並びが前に出ている状態。
遺伝やアゴの発育バランスが原因とされている。歯並びの問題の中でも一番治療が難しいとされ、長期間の治療が必要。
噛み合わせた時に奥歯は咬むけれど、前歯にすき間ができている状態。
長期の指しゃぶりや口呼吸、遺伝による顔の骨格が原因となることもある。前歯で咬めないので奥歯の負担が大きくなり、発音もしづらくなります。
上下の前歯の先端どうしが、当たっている嚙み合わせの状態。
正常な前歯の咬合は、上の歯が下の歯に1~3mmほど覆っていますが、浅い噛み合わせでは先端どうしがぶつかってしまい、前歯の先に大きな負担がかかります。前歯が削れてきたり、欠けたりするリスクが高くなります。
歯を噛み合わせた時に、上の前歯が下の前歯を覆い隠してしまう歯並びの状態。
噛み合わせが深いと下アゴの動きが制限される可能性が高く、アゴの関節に必要以上の負担をかけて、顎関節症を誘発することもあります。また下の歯が上の前歯の裏側の歯ぐきをかみ込み、傷つけて炎症を起こすこともあります。
これらの歯列不正は、小児予防矯正「マイオブレースシステム」で自然な発育を促し、キレイな歯並びを目指すことができます。
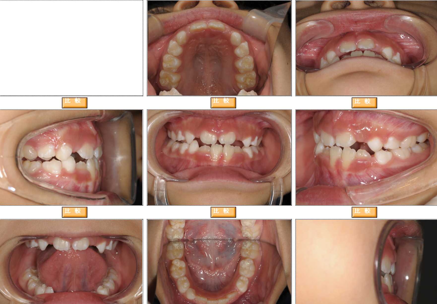
| 性別年齢 | 女性 治療開始時7歳、治療後13歳 |
|---|---|
| 治療内容 | MRC矯正 |
| 金額 | 440,000円(税込) |
| 来院理由 | 永久歯が生えてくるスペースがなさそう |
| 治療のリスク・副作用 | ・金属を使用するため、金属アレルギーの方は使用できない可能性があります ・装置に慣れるまで話しづらさが出る場合があります ・装置が歯ぐきに当たって痛みが出る可能性があります ・装置をしたままでの飲料は虫歯、着色のリスクがあるため、水のみです ・取り外し可能の装置のため、紛失のおそれがあります |
| 性別年齢 | 女性 治療開始時7歳、治療後13歳 |
|---|---|
| 治療内容 | MRC矯正 |
| 金額 | 440,000円(税込) |
| 来院理由 | 定期健診 |
| 治療のリスク・副作用 | ・金属を使用するため、金属アレルギーの方は使用できない可能性があります ・装置に慣れるまで話しづらさが出る場合があります ・装置が歯ぐきに当たって痛みが出る可能性があります ・装置をしたままでの飲料は虫歯、着色のリスクがあるため、水のみです ・取り外し可能の装置のため、紛失のおそれがあります |
「前歯の生え変わり・交換期(5〜6歳)が開始の時期」「治療開始は8歳までに」
理由としては、上顎の成長は5歳頃までがピークです。そのため前歯の生え変わり(5〜6歳)の後に自然に治る可能性は低いです。
上顎の成長は9歳頃まででほとんど終了します。そのため8歳までに治療を開始ししっかりアゴを成長させることが大切。9歳頃以降はブラケットや抜歯矯正が増えます。
従来、歯並びは遺伝的な要因が大きいと考えられ、矯正治療はアゴの成長が終了してから行うことが主流でした。
しかし最近は、お口のまわりの筋肉が正しく使えているかが歯並びに大きく影響することが明らかになっています。
マイオブレースシステム治療は口腔習癖を改善することからはじまります。
歯並びやアゴの成長を妨げる根本的な原因に幼いうちからアプローチすることで、お子さんの本来の正しいアゴの発達を促して歯並びを整えられます。
当院の小児予防矯正は、『マイオブレースシステム』というトレーナーとお口や姿勢のトレーニング(アクティビティ)の二方面からお子さんの歯並びが悪い原因を治していく治療を行っていきます。
マイオブレースシステムは、オーストラリアのDr.Chris Farrellにより不正咬合の原因を、早期に治療するための筋機能装置として開発されました。本来子どもが持っている正しい歯並びを促すだけでなく呼吸改善など健康面においても大きなメリットがあることで注目され、25年経った現在では世界100ヶ国以上に広まり日本においても、このシステムを取り入れた矯正治療が行われるようになりました。
マイオブレースシステムは、世界100ヵ国以上で行われている治療方法です。
ご存知ですか?歯並びは遺伝よりも口呼吸や飲み込みなどのクセなどで悪くなってしまうのです。
短期間で効果的に、良い歯並び・正しいお顔・健康に育てるための、成長期だけの特別な矯正「Myobrace(マイオブレース)」を実施しています。
間違ったクセや習慣を改善する。
ワイヤー矯正が取りはずしではなく24時間つけているのに比べ、小児予防矯正で使うトレーナーは1日、日中に一時間、夜間寝ている時、トレーニングの時に使用します。トレーナーは、間違ったクセや習慣を改善出来るようにデザインされています。
使用するトレーナーは、お子さんの年齢やアゴの発育、お口の状態に合わせ歯科医師の指導のもと、使い分けていきます。
歯が正しい位置に自然に生えるように
導く。
小児予防矯正では、トレーナーを使うだけでなく、最初に間違ったクセを、トレーニングによって改善することから始めていきます。そして、同時にトレーナーを使って、永久歯が正しい位置に自然に生えてくるように導き、歯並びを良くしていきます。私たちは、それらを『アクティビティ』と呼んでいます。トレーニングは、正しい呼吸の練習からスタートし、舌・嚥下(飲み込み)そして、くちびるの筋力トレーニングへと続きます。1ヶ月に1度の来院で、その成果をチェックし、出来ていると判断すれば、次のトレーニングへと進みます。
マイオブレースは従来のワイヤーを使用した矯正治療とは異なり、専用のトレーナーを、就寝中と日中1〜2時間装着をします。通常のワイヤー矯正のような矯正器具を使用しないので、見た目も目立ちません。
マイオブレースは口の筋肉を鍛えて根本的な歯並びを悪くする原因を改善するため後戻りすることがほとんど
ありません。
従来の矯正治療では、歯を並べるスペースを確保するために抜歯を行うことがあります。マイオブレースシステムは歯を抜くことを前提としていません。
通常のワイヤー矯正のような矯正器具を使用しないので、痛みの心配もありません。また、外して歯磨きもできるため虫歯リスクも回避ができます。
不正咬合の原因ともいえるロ呼吸を改善。正しい呼吸、咀嚼、嚥下を身に着けることで、歯並びだけでなく健康面にも大きな効果が期待できます。
現在日本で主流となっているワイヤーを使った小児矯正は「悪い歯並びを力技で整える」治療になります。つまり「歯並びが悪くなった後からの」アプローチです。当院が行っているマイオブレース小児予防矯正は「歯並びが悪くなる前に、もしくは、歯並びが悪くなってしまった悪習癖(原因)を改善し、悪くなった歯並びを整える」治療法です。「結果」へのアプローチか、「原因」へのアプローチか。これが一番の違いです。そしてアプローチ方法が異なれば、「治療法」や「治療結果」も変わってきます。
| 一般的な小児矯正 | マイオブレース小児矯正 | |
|---|---|---|
| 装置 | ![]() ![]() ワイヤーや床矯正装置を利用 目立つ装置が多い |
![]() ![]() マウスピース型の装置を利用 取り外しができ、平日1時間と就寝時に 装着すればOK |
| 痛み | 力技で歯を動かすので痛みが伴う | 痛みは伴わない |
| 抜歯の必要性 | 抜歯することもある | 抜歯しない |
| 治療中、むし歯になる可能性 | ワイヤーを利用する場合は取り外しが できないため、むし歯になってしまう 可能性が高い |
取り外し可能で歯磨きがしやすく、 ワイヤー矯正より虫歯になる可能性が低いが、 矯正装置(トレーナーなど)が入ってない時より 虫歯になってしまう可能性が高い |
| 治療後の保定装置(リテーナー) | 必要 | 必要ない |
| 後戻り | 歯並びが悪くなる原因は改善されて いないので、歯並びが戻る確率が 高まる |
原因から改善していくので、歯並びは 後戻りしない |
| 歯並びのキレイさ | キレイに整う | 機能性の回復を優先させるため、 一般的な矯正と比べ若干歯並びの キレイさは劣る |
| トレーニングの有無 | 行わない | 1日数十分のトレーニングを自宅で 行う必要あり |
| 副次的効果 | 特になし | ・正しい姿勢の獲得・アレルギー改善 ・アトピー改善・いびきの改善 ・喘息の改善・免疫機能の向上 ・飲み込み機能の向上 |
原因は「口腔周囲筋(舌・唇・頬の筋肉)」の機能不全です。具体的に分かりやすくお伝えします。
口で呼吸していると舌は低位になり、上アゴの成長を妨げ歯並び悪化の原因となります。また、病原菌が喉の粘膜から直接取りこまれてしまうため、健康のためにも良いことではありません。
普段何もしていない時に、舌が常に歯に触れている場合はこの癖に該当します。舌先は上の前歯の付け根の少し手前あたりに当たっている状態が正しい位置です。たとえ小さな力でも舌の力によって歯並びはくずれてしまいます。
飲み込む時に舌を前に突き出したり、口の周りにグッと力が入る飲み込み方(逆嚥下)は間違った嚥下です。舌や唇には強い力がかかります。間違った嚥下を毎日繰り返すことで歯並びにも影響が出てきます。
0〜2歳
歯並びはお口だけの問題ではなく、座り方、姿勢、抱っこの仕方が原因で悪くなってしまうことがあります。親御さんと一緒にお子さんの正しい「姿勢」を獲得する訓練を行います。
3〜5歳
インファントという取り外しできるマウスピース型の装置を1日2回10分~20分使用することで、アゴの成長を促し、歯並びが悪くなる原因を除去していきます。
6〜8歳
マイオブレーストレーナーという取り外し式の装置と舌・口・呼吸の訓練を行います。歯並びが悪くなる口呼吸、舌の突き出し、指しゃぶりなどを改善します。
上記の他、ご自宅で毎日トレーニングを行います。トレーニングというと「難しそう」「続けられるかな……」と不安に思われるかもしれません。トレーニング自体は難しくはありませんし、痛みも抑えられます。しかし、「継続」が大切になります。このトレーニングを行わないと効果が半減してしまいます。お子さんに継続してもらうため、親御さんの協力が必要となります。
当院でのマイオブレースの適応年齢は6歳から8歳ですが、最も効果的に改善できるのは、小学1年生から5年生といわれています。
一般的に上アゴの成長発達が終わる時期は個人差はありますが小学校高学年ごろまでと考えられています。逆算をすると6~7歳くらいからトレーニングを行えば、理想的なアゴの成長を促すことが期待できます。
また、トレーニングの目安はおよそ2年程度と考えており、正しい呼吸方法が維持できればその後トレーニングを続ける必要はありません。
現在、生え変わり時の子ども達5人中4人には歯並びの乱れがあると言われています。いったいなぜそんなに多くの子ども達に歯並びの乱れがあるので
しょうか。
これまで歯並びは遺伝によるものと言われてきましたが、最近の研究によって遺伝よりも生まれてからの口やアゴの周りの筋肉の影響が大きいことがわかってきています。最近では、口が開いていることが多い、口呼吸をする子が多い、姿勢が悪い子が多い、食べ方が下手な子が多い、いびきや睡眠時無呼吸が心配、など口やアゴの周りの筋肉に関する心配事が多いようです。
またアレルギーが多く、鼻がよく詰まることも多いようです。口呼吸や間違った飲み込み方は歯列やアゴ・顔の成長にとくに大きな影響を与えます。
上顎の成長期は、脳の成長に合わせて5歳頃にピークを迎えます。その後9歳くらいまでは成長が旺盛とされていますが、その後はあまり大きな成長は見られません。また顔のほとんどはアゴの骨によって作られているため、顔の成長はアゴの成長と一致します。
歯列や顎・顔の成長の時期に合わせて、不正歯列となる原因を改善することで良い成長と導き、良い歯並びや正しいお顔に育てることができます。
それはできるだけ早くに取り組むことで良い結果を生み出すでしょう。
口腔機能である呼吸や飲み込みは、成長や健康だけではなく歯並びや顔つきにも大きく影響します。
いいだ歯科クリニックでは、不正歯列の大きな原因である、口呼吸や間違った飲み込み方、またそれらを悪化させる姿勢について、早期からの支援を行って
います。
歯並びを悪くする原因を改善することで、良いアゴや歯並びに成長させます。また治療後の歯列の安定が良く後戻りを防ぎます。
基本的に抜歯やワイヤーなどの目立つ装置の使用を行いません。
(※場合により、アゴを横に広げる拡大床
という装置を装着してもらいます。)
ワイヤー装置を使用しないため歯に対するダメージを無くせます。また、不正歯列の原因である呼吸・飲み込み方・姿勢などを改善することで成長や将来の健康に良い影響が期待できます。
治療やトレーニングを通じて自らの健康を守る意識が高まります。不正歯列の原因を理解し治療後も自ら対処することができます。
できるだけお子さんと一緒に
お越しください。
ご要望を聞いた上で、お子さんにとって最適な矯正をご提案します。(初診の方は、先に一度受診が必要です。)
状態の確認(レントゲンなど)、原因の検査などを行います。
矯正治療に必要な検査を行います。(レントゲン、歯の型取り、写真撮影)
首元や襟元の楽な服装でお越し
ください。
できるだけお子さんと一緒に
お越しください。
検査の結果によるお子さんの状態、治療方法、治療費用などをご説明します。お子さんと親御さんに治療開始の意思確認を行います。
基本的に1ヶ月ごとの来院となります。(同時にメンテナンスを行います)
マイオブレースの働きを高めるには、舌やロまわりの筋肉、呼吸のトレーニングが重要です。
トレーニングは毎日行うため粘り強さも必要です。トレーニングの進み具合は個人差があり、結果が早く出るケースやトレーニングが長引くケースもあります。今までの習癖を完璧になくすには、早い段階からトレーニングプログラムを始める必要があります。トレーニングは比較的簡単で、段階に合わせてステップアップしていきます。
マイオブレースは『歯並びを悪くする要因を排除し、お子さん本来の正しい歯並びに導く』矯正です。そのため、早期に始めればお子さんのお口や体に負担をかけることなく、少ないコストで美しい歯並びに導けます。
A.トレーナー使用のマイオブレース矯正のみで歯並びがよくなるかは、お子さんの歯並びによって変わります。
マイオブレース矯正をはじめる前の検査や診断で、お子さんに適応であるのかどうかを詳しくお伝えします。
A.慣れるまでは外れることもあります。
最初は外れてしまうこともありますが、慣れてくると朝まで問題なく装着することができますので、ご安心ください。
A.基本的には1ヶ月に1回です。
マイオブレース矯正がはじまると経過観察や当院でのアクティビティを行うため基本的には1ヶ月に1回の来院をお願いしております。
ただ、急なトラブルやご相談などがある場合は、1ヶ月経過してない場合でも、いつでもご予約はお取りできます。